Ο καρκίνος του πρωκτού αποτελεί περίπου 2% από τους καρκίνους που διαγιγνώσκονται κάθε χρόνο. Παράγοντες κινδύνου είναι HIV, η λοίμωξη με HPV 16, 18, 33, 34, 35, το κάπνισμα, η σεξουαλική συμπεριφορά με πολλαπλούς συντρόφους , ιστορικό για καρκίνο του αιδοίου, καρκίνο του τραχήλου της μήτρας. Κλινικά παρουσιάζεται με απώλεια αίματος από τον πρωκτό, κνησμός, ψηλαφητή μάζα .Συνήθως διαγιγνώσκεται σε πρώιμο στάδιο 73% στάδιο 0 έως ΙΙ και μόνο 4% σε στάδιο ΙV.Η διάγνωση τίθεται μετά από κλινική εξέταση, κολονοσκόπηση, αξονική τομογραφία και μαγνητική τομογραφία και επί ενδείξεων – PET –CT(Positron emission tomography–computed tomography).
Θεραπεία για τον Καρκίνο του Πρωκτού
Ο καρκίνος του πρωκτού μέχρι 1970 αντιμετωπιζόταν χειρουργικά και οι ασθενείς είχαν μόνιμη κολοστομία. Μελέτες ανέδειξαν ότι μετά από προεγχειρητική ακτινο – χημειοθεραπεία οι ασθενείς είχαν μεγάλο ποσοστό πλήρους ανταπόκρισης. Με αναδρομικές συγκριτικές μελέτες αποδείχθηκε βελτιωμένη επιβίωση με ταυτόχρονη ακτινο-χημειοθεραπεία. Επί υποτροπής - χειρουργείο διάσωσης .
Ενδείξεις ακτινοθεραπείας:
UKCCCR(United Kingdom Coordinating Committee on Cancer Research) και EORTC(The European Organisation for Research and Treatment of Cancer) μελέτες καθιέρωσαν την συνδυασμένη ταυτόχρονη άκτινο-χημειοθεραπεία ως θεραπεία εκλογής στο καρκίνο του πρωκτού.
Τεχνικές Ακτικοθεραπείας για τον Καρκίνο του Πρωκτού
Οι τεχνικές που χρησιμοποιούνται για την θεραπεία του καρκίνο του πρωκτού είναι:
- τρισδιάστατη σύμμορφη ακτινοθεραπεία (3-D Comformal)
- διαμορφούμενης έντασης ακτινοθεραπεία (IMRT)
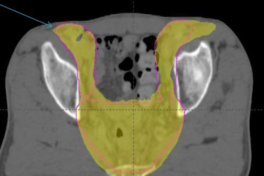
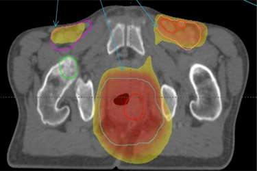
Πριν την θεραπεία ο ασθενής υποβάλλεται σε Αξονική Τομογραφία σχεδιασμού, όπου τοποθετείται σε συγκεκριμένη θέση θεραπείας. Μετά ακολουθεί σχεδιασμός της θεραπείας, προσδιορίζεται η περιοχή ακτινοβόλησης, ο όγκος στόχος και οι κρίσιμες δομές που πρέπει να προφυλαχτούν. Η θεραπεία γίνεται καθημερινά σε 28-30 συνεδρίες. Με την χορήγηση της IMRT τεχνικής μειώνεται η δερματική τοξικότητα, η αιματολογική τοξικότητα, οι παρενέργειες από το πεπτικό και το ουροποιητικό σύστημα.(εικ. 1,2)
ΚΑΡΚΙΝΟΣ ΤΟΥ ΠΡΩΚΤΟΥ IMRT –dose painting (προστασία των δομών)
ΚΑΡΚΙΝΟΣ ΤΟΥ ΠΡΩΚΤΟΥ IMRT –dose painting (προστασία του εντέρου)
